В современном медицинском мире обработка и анализ изображений играют ключевую роль в диагностике и лечении заболеваний. DICOM (Digital Imaging and Communications in Medicine) является международным стандартом для обмена медицинскими изображениями и информацией. Однако традиционные DICOM-вьюеры часто требуют установки программного обеспечения и могут быть сложными в использовании. В ответ на эти вызовы появился универсальный онлайн DICOM-вьюер, который предоставляет мощные инструменты для радиологов, хирургов и инженеров, а также для всех, кому нужны точные и удобные решения без установки программ. В этой статье мы рассмотрим основные функции и преимущества универсального онлайн DICOM-вьюера.
Что такое DICOM-вьюер?
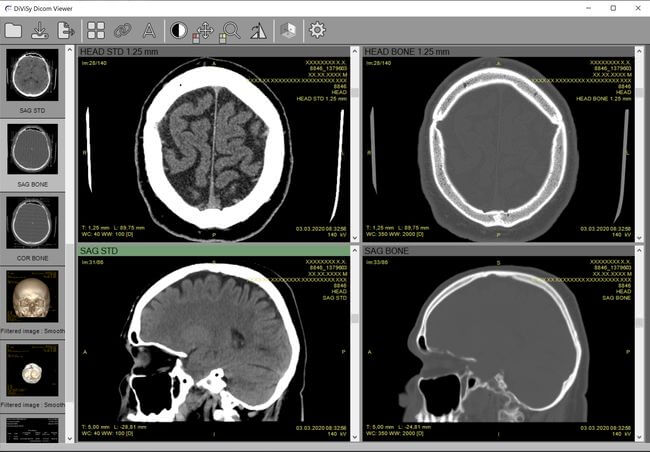
DICOM-вьюер — это специализированное программное обеспечение, предназначенное для отображения и анализа медицинских изображений, таких как рентген, КТ, МРТ и ультразвуковые исследования https://dicom-viewer.online. Он позволяет врачам визуализировать изображения, проводить измерения, контурировать области интереса и анализировать данные для более точной диагностики. Онлайн DICOM-вьюер, в отличие от традиционных программ, доступен прямо в браузере, что упрощает доступ и совместное использование информации.
Преимущества онлайн DICOM-вьюера
1. Доступность и простота использования
Одним из главных преимуществ онлайн DICOM-вьюера является его доступность. Пользователи могут получить доступ к приложению из любого места с интернет-соединением, что особенно важно для врачей, работающих в разных учреждениях или на выездных мероприятиях. Кроме того, интерфейс вьюера, как правило, интуитивно понятен, что позволяет быстро освоить его даже тем, кто не имеет большого опыта работы с медицинскими изображениями.
2. Мощные инструменты анализа
Онлайн DICOM-вьюеры предлагают широкий набор инструментов для анализа изображений. Пользователи могут проводить измерения, такие как размеры опухолей или длина сосудов, а также контурировать области интереса для более детального изучения. Эти функции помогают врачам более точно оценивать состояние пациента и принимать обоснованные решения о лечении.
3. Облачное хранение и совместное использование
С облачными DICOM-вьюерами пользователи могут хранить медицинские изображения и связанные с ними данные в безопасном облачном хранилище. Это обеспечивает простоту доступа и защиту информации. Кроме того, возможность делиться изображениями и отчетами с коллегами или пациентами в режиме реального времени значительно упрощает процесс диагностики и лечения.
4. Безопасность и конфиденциальность
Современные онлайн DICOM-вьюеры обеспечивают высокий уровень безопасности и конфиденциальности данных. Используя шифрование и другие методы защиты, они гарантируют, что информация о пациентах остается защищенной от несанкционированного доступа. Это особенно важно в медицинской сфере, где соблюдение стандартов конфиденциальности имеет критическое значение.

Как выбрать подходящий онлайн DICOM-вьюер?
При выборе онлайн DICOM-вьюера стоит учитывать несколько факторов:
— Функциональность: Убедитесь, что вьюер предлагает все необходимые инструменты для анализа и обработки изображений.
— Совместимость: Проверьте, поддерживает ли вьюер форматы файлов, с которыми вы работаете, и может ли интегрироваться с другими системами, использующимися в вашем учреждении.
— Безопасность: Ознакомьтесь с мерами безопасности, которые предлагает вьюер, чтобы гарантировать защиту данных пациентов.
— Пользовательская поддержка: Наличие качественной технической поддержки может оказаться полезным, особенно в случае возникновения вопросов или проблем.
Заключение
Универсальный онлайн DICOM-вьюер — это мощный инструмент, который значительно упрощает работу с медицинскими изображениями. Его доступность, простота использования и возможности анализа делают его незаменимым помощником для радиологов, хирургов и других специалистов. С облачными решениями пользователи могут эффективно хранить и делиться данными, обеспечивая удобство и безопасность. Переход на онлайн DICOM-вьюер — это шаг к более современному и эффективному подходу в медицинской практике, который способствует улучшению качества диагностики и лечения.
